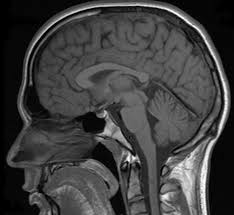
Today we received the CD of Brennan's MRI. We have posted what exactly the doctors found when they did the MRI. Below is what a healthy brain of a 4 year old looks like comparable to what a Chiari brain looks like.
 |
| Healthy Brain of a 4 year old |
 |
| Brennan's brain |
 |
| No cerebral spinal fluid movement.. you can see the part that is falling out |
 |
Sometimes we wonder how he functions. No wonder why the headaches were coming on and still come frequent. He has began to stutter more. January 6th we visit the neurosurgeon.. it can't come fast enough! |
Brennan has an award-winning smile! Hope today's appointment went well. Anxiously waiting your post following today's appointment.
ReplyDelete